Osteomielită cronică

Back Home Up Next

Sechestru osos la nivelul tibiei

Back Home Up Next

Proces de osteomielită la nivelul gambei

Back Home Up Next

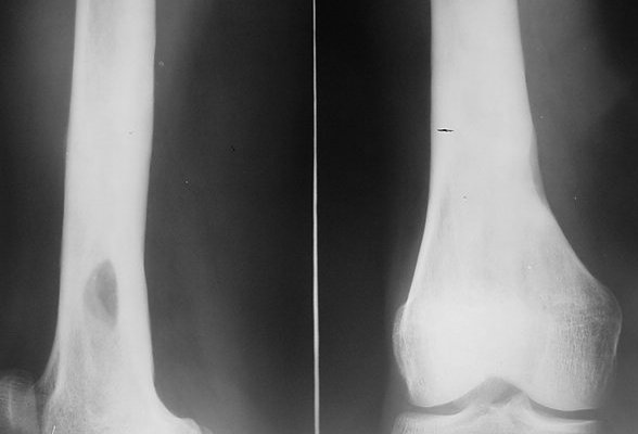
Abcesul Brodie

Back Home Up Next