Silicoză gradul II/III

Back Home Up Next

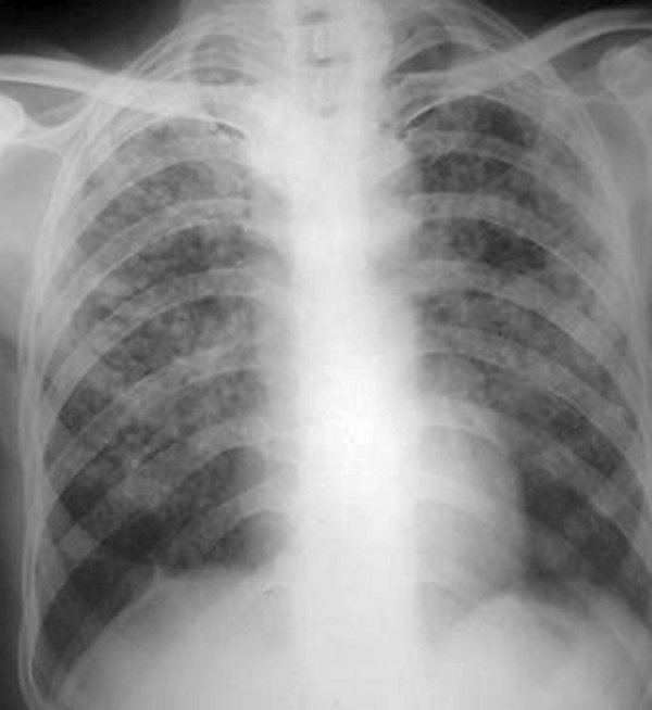
Silico-tuberculoză

Back Home Up Next

Calcificări ganglionare în silicoză

Back Home Up Next