Calcificări prostatice

Back Home Up

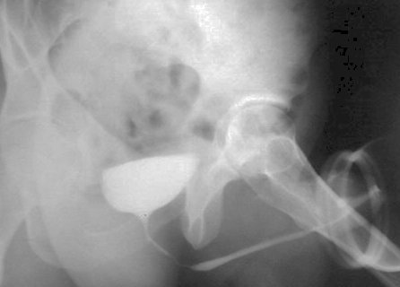
Uretrografie permicțională

Back Home Up