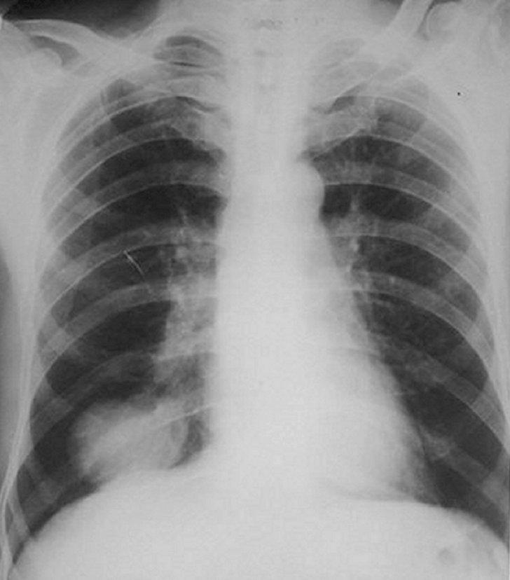
Carcinom bronho-pulmonar central

Back Home Up Next

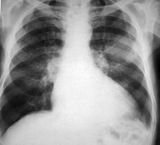
Neoplasm pulmonar central

Back Home Up Next

Carcinom bronho-pulmonar periferic

Back Home Up Next

Carcinom periferic mediopulmonar stâng

Back Home Up Next

Cancerul vârfului pulmonar - Pacoast-Tobias, eroziuni costale

Back Home Up Next