Opacitate bine delimitată, mediopulmonar drepta

Back Home Up Next

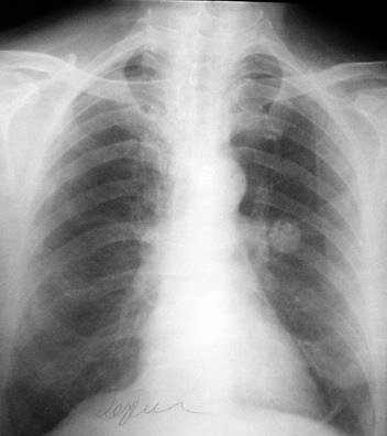
Opacitate bine delimitată, mediopulmonar stânga cu zone de calcificare - tumoră benignă

Back Home Up Next